humburgar
humburgar

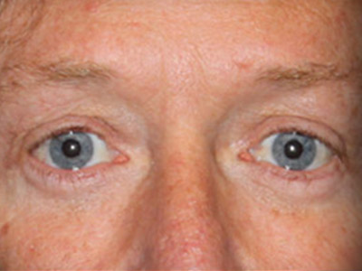
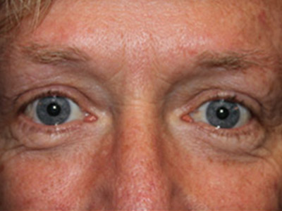
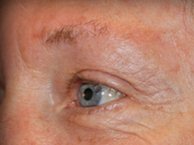
Patient #26255: Blepharoplasty

Schedule a Consultation
watermark

Contact us

Experience the best of both worlds

Founded in 2010, the team at JanigaMDs has been proven to provide the utmost care for all patients. With a 4.7 rating over almost 700 reviews, JanigaMDs is the premier aesthetic practice in Northern Nevada.

Contact Us

"*" indicates required fields

This field is hidden when viewing the form